儿童MRI检查:神秘扫描背后的注意事项与解读
本文深入探讨儿童MRI检查的原理、适应症、准备工作、安全注意事项及结果解读,旨在帮助家长更好地理解和应对这一先进的医学成像技术。
磁共振成像:普通MRI与增强MRI的全面对比与应用
本文深入探讨了磁共振成像(MRI)的基本原理,普通MRI与增强MRI的区别与适用场景,并提供患者在检查前的饮食建议和注意事项,帮助读者更好地理解MRI,提高健康管理意识。
女性盆腔MRI异常信号解析:关注健康,及时应对
本文深入解析女性盆腔MRI异常信号的成因、症状和治疗方案,帮助您科学应对,及时关注健康变化,提高生活质量。
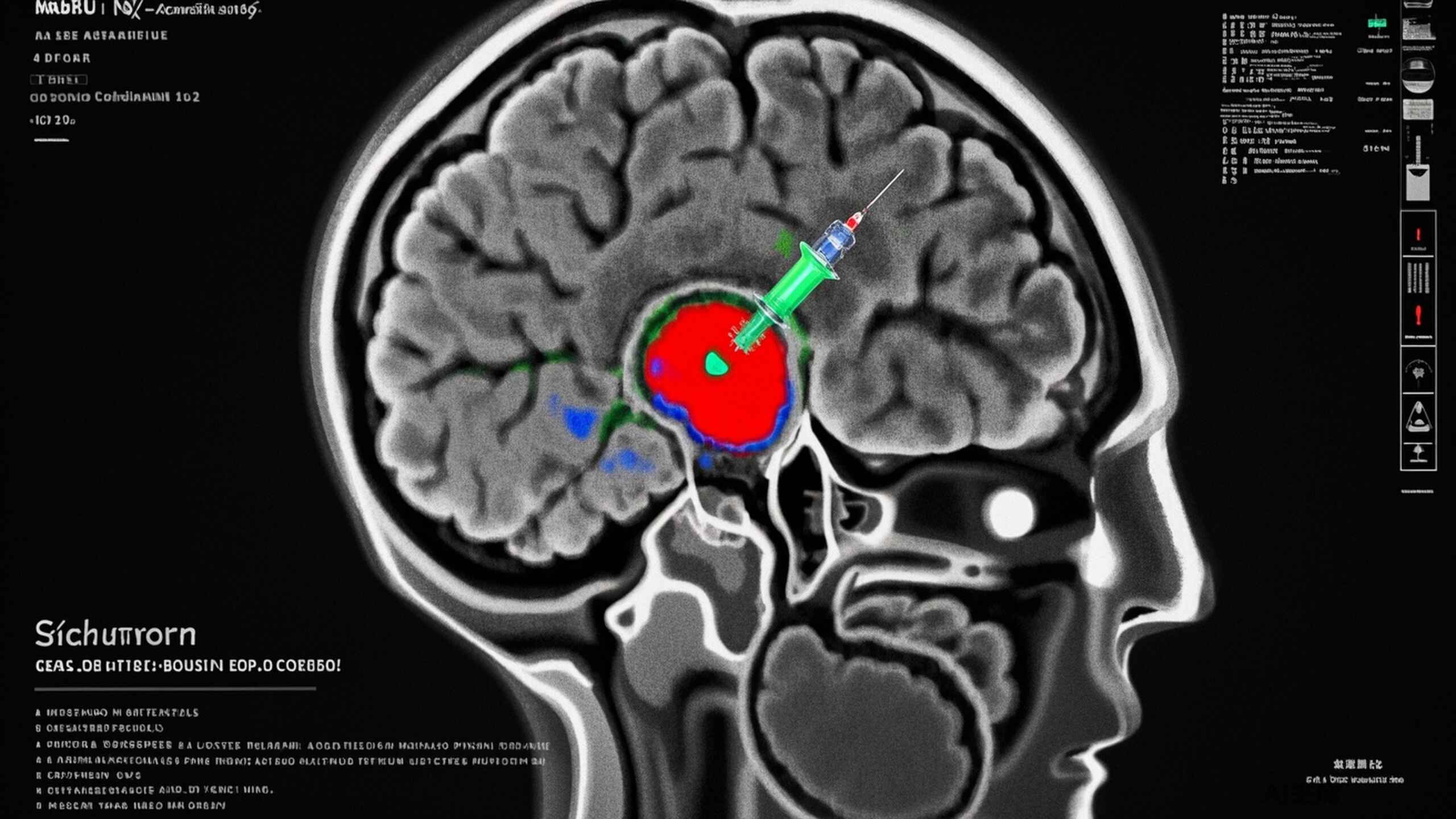
透视脑肿瘤:MRI增强扫描表现的奥秘
本文章深入探讨了脑肿瘤的早期信号、MRI增强扫描的重要性及其在不同肿瘤类型和分级中的应用。此外,还提供了实用建议,帮助读者维护脑健康。
低场强MRI:了解技术优势与应用前景
本文深入探讨低场强MRI的基本原理、技术优势、应用领域及局限性,为医疗行业从业者和患者提供全面的知识与使用指导,助力健康管理与早期筛查。
孕妇MRI:安全性与潜在风险全面解析
本文探讨了孕妇在怀孕期间进行MRI检查的必要性、安全性、潜在风险及最佳实践,帮助准妈妈们科学、安心地进行医学成像检查。
探秘MRI功能成像:深度解析原理与应用
本文深入探讨功能性磁共振成像(fMRI)的基本原理、与传统MRI的区别、临床应用、以及在认知神经科学中的重要性,帮助读者理解大脑功能与健康之间的关系。
半月板的隐秘伤痛:MRI诊断背后的故事
本文深入探讨了半月板损伤的初期信号、典型症状、发生原因及其MRI诊断的重要性,提供实用的治疗与康复建议,帮助读者更好地理解和预防膝关节问题。
透视脊柱健康:全脊柱MRI扫描的奥秘与应用
本文深入探讨了脊柱健康的问题信号、全脊柱MRI扫描的原理与优势、常见脊柱疾病的风险因素以及科学预防的方法,为读者提供全面的脊柱健康知识。
精准诊断肝癌:磁共振成像(mri)的重要作用
肝癌是我国常见的恶性肿瘤之一,尤其在山东省等地肝癌的发病率较高,给患者及家庭带来了十分沉重的负担。磁共振成像(MRI)作为一种先进的影像检查技术,广泛应用于肝癌的诊断、分期以及疗效评估中。了解磁共振成