鼻骨骨折:诊断与治疗全解
本文旨在全面介绍鼻骨骨折的类型、诊断流程、分期标准、治疗方式、不良反应处理及患者生活习惯调整,帮助读者建立科学的疾病管理观念。
鼻骨骨折:识别症状与有效治疗指南
鼻骨骨折影响面部美观与呼吸功能,了解早期症状与治疗方案,适合老人和儿童,确保健康得到保障。
从鼻骨骨折现象看保护鼻部健康的必要性
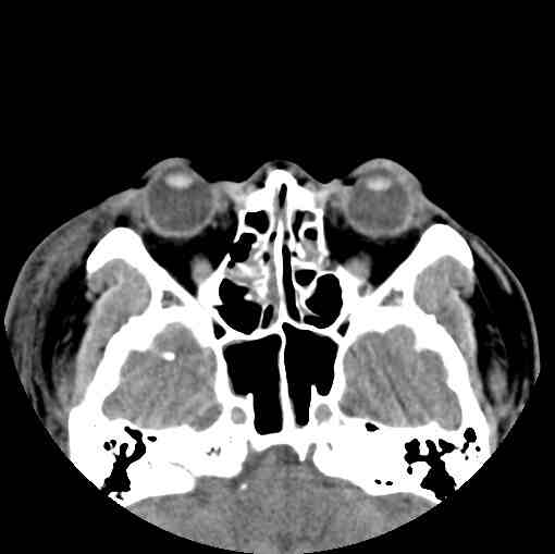
根据提供的检查报告,患者的鼻骨骨折情况非常严重,诊断结果显示存在双侧鼻骨骨折、双侧上颌骨额突骨折以及左侧鼻眶筛骨折。这一系列骨折对患者的鼻部功能和外观产生了显著的影响,需要引起高度重视。为了更好地理解
鼻骨骨折:如何预防和处理常见的面部创伤!
生活中,意外难以避免。无论是交通事故、运动伤害甚至是日常活动中的摔倒,鼻骨骨折都是一种常见的面部损伤情况。虽然鼻骨骨折大多数情况下不致命,但如果处理不当,可能会引起长期的功能障碍和美观问题。
鼻骨骨折:复位技巧与护理全解析,助您重塑美丽与功能
本文深入探讨鼻骨骨折的常见症状、确诊方法、及时复位的重要性,以及复位的每一步护理要点,帮助患者恢复鼻子的美观与呼吸功能。
鼻骨骨折:认识、治疗和预防,一篇你不能错过的医学小科普!
在生活中,意外是常有的事。无论是孩童嬉戏、交通事故,还是意外跌倒,鼻子作为面部最突出的部位,很容易受到伤害。鼻骨骨折是一种常见的面部损伤,但很多人对其了解不够。本文将深入探讨鼻骨骨折的成因、症状、
跟骨骨折:认识、治疗与预防
根据某患者的病历报告,这位病人在双侧跟骨骨折后接受了多项处理和治疗,包括医嘱、护理、药物注射及手术等。其中关键检查和治疗时间段显示,患者术前接受基本护理、疼痛综合评定、综合能力评估等,术后进行了机器人...
骨折恢复攻略—防止老年骨折中的经验与原理!
在这份报告中,我们简单复述一下病情:一名76岁的患者在遭遇了右股骨粗隆间骨折后就医。这种类型的骨折需要特别的注意和治疗,尤其是在老年人群中。
眶骨骨折:类型、症状与治疗指南
了解眶骨骨折的症状、诊断与治疗方法,帮助您快速识别问题,做好应对与预防,不再让意外撞击带来困扰。
如何科学面对和预防跟骨骨折?
根据提供的病例信息,这位52岁的女性患者被诊断为右侧跟骨粉碎性骨折。该病症一般由高能量创伤引起,如意外跌倒或车祸等。具体诊断包括“右侧跟骨粉碎性骨折”,并伴有“右足、踝部软组织损伤”。这是一种严重的骨