回盲部癌的全面解读:从诊断到治疗
本文旨在全面介绍回盲部癌的类型、诊断流程、分期标准、治疗方式、不良反应处理及患者生活习惯调整,帮助读者建立科学的疾病管理观念。回盲部癌是消化系统中相对少见但具有高侵袭性的癌症之一。其不仅会严重影响患者的生活质量,还存在较高的病死率。因此,科学的管理和系统的治疗对于延长患者生存期、改善生活质量具有重要意义。
本文内容包括回盲部癌的病理分类、临床表现、诊断方法、疾病分期、治疗策略以及不良反应的处理。旨在为公众提供全面的医学知识,帮助患者及其家属更好地理解和应对这一疾病。
回盲部癌的分类标准是什么?
回盲部癌的分类可以基于病因、病理生理和临床表现等多个角度进行。
从病理学角度来看,回盲部癌主要分为腺癌、粘液腺癌和小细胞癌等。每种类型对放化疗的反应以及预后均有所不同。
临床表现上的分类可以按照肿瘤的大小、位置和侵袭性进行区分。部分患者表现出较早期的症状,如腹痛和大便性状改变,另一部分患者可能在疾病晚期才出现明显症状。
此外,根据肿瘤的病理生理特征,还可以将其分为溃疡型和浸润型等类型。这些分类对于确定治疗方案和预后评估具有重要参考意义。
如何诊断回盲部癌?
回盲部癌的诊断通常需要结合临床信息、辅助检查结果及医生的经验。这一过程通常包括详细的病史调查、体检、影像学检查和病理学检查。
起初,医生会基于患者的症状,如长期的腹痛、大便性状改变等,怀疑存在消化系统的恶性病变。随后,会建议患者进行肠镜检查以明确病变部位。
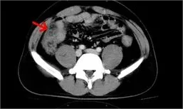
影像学检查常包括CT扫描和MRI检查,用以确定肿瘤的具体位置、大小及其对周围组织器官的侵袭情况。此外,PET-CT检查可以帮助医生评估是否存在远处转移。
病理学检查极为关键,通过内镜下取样进行活检,病理科医生通过显微镜下观察细胞形态,最终确定肿瘤的类型及分化程度。从而,完整的诊断结果是临床治疗决策的重要依据。
回盲部癌的分期与评估
回盲部癌的分期是治疗策略制定的关键一步。它通常包括肿瘤的大小、浸润深度、淋巴结受累情况和远处转移情况。
根据美国的TNM分类法,回盲部癌的分期依次为:T(原发肿瘤大小与浸润深度),N(区域淋巴结受累情况),M(是否存在远处转移)。具体分级可以帮助医生评估病情的严重程度。
早期癌症(如T1-2,N0,M0)通常预后较好,手术切除后生存率较高。而对于晚期癌症(如T4,N2,M1),往往需要结合多种疗法进行综合治疗,且预后较差。
治疗回盲部癌的方式详解
回盲部癌的治疗方法多样,根据病期不同,主要包括手术、化疗、放疗和靶向治疗等。不少患者会选择组合疗法以期达到最佳疗效。
对于早期回盲部癌者,手术切除是首选治疗方式。通过外科手术切除癌变部位及部分正常组织,减小复发风险。但手术可能伴随一些风险和并发症。
对于中晚期患者,单纯手术难以彻底根治,通常需要术后辅以化疗和放疗。化疗通过药物作用杀灭全身癌细胞,放疗则利用高能射线定位杀灭肿瘤局部细胞。
靶向治疗是近年迅速发展的新技术,通过特异性靶向肿瘤细胞的某些特定分子,达到抑制或杀伤肿瘤的目的。与传统化疗相比,靶向治疗对正常细胞影响较小,副作用较低。
如何处理回盲部癌治疗中的不良反应?
回盲部癌的治疗过程中,患者可能遇到各种不良反应,这不仅会影响治疗依从性,还可能危及患者生命。因此,及时、有效的处理不良反应是保证治疗顺利进行的重要环节。
常见的不良反应包括胃肠道反应、骨髓抑制、感染及神经系统反应等。其中,化疗药物常引起恶心、呕吐、腹泻等,放疗则可能导致局部皮肤反应和疲倦感。
针对不同类型的不良反应,医疗团队会采取相应的对症处理措施。例如,使用止吐药物控制化疗引起的恶心呕吐,通过使用龋齿药物和调整饮食来减少胃肠不适。
此外,保持良好的生活习惯及心理状态也对提高治疗效果、改善不良反应具有积极作用。建议患者保持均衡饮食、适度运动,积极应对压力,确保充分休息。
总结要点:回盲部癌是一种高度侵袭性的消化系统恶性肿瘤。通过科学的管理和系统的治疗,可以有效延长患者的生存期并改善其生活质量。在疾病管理过程中,患者及其家属需要与医疗团队紧密合作,全面了解疾病特点、积极应对各种可能的不良反应,最终实现更好的治疗效果。










