蛛网膜下腔出血与高血压:了解病因与预防措施
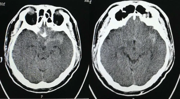
蛛网膜下腔出血和高血压是两种常见但严重的健康问题。蛛网膜下腔出血是一种紧急情况,通常由于脑内血管破裂引起,常见于老年人和高血压患者。根据患者的检查结果,发现其颈内动脉有动脉瘤,同时右侧肺和心脏也存在一些钙化斑。这些异常指标提示患者存在多种健康风险,需要进行进一步的治疗和监测。
针对检查结果,我们可以看到患者右侧C7段存在结节状突起影,双侧颈内动脉虹吸段散在钙化斑,双肺散在小结节等异常现象。我们需要了解这些异常的背后可能存在的疾病和风险,并且提出相应的治疗和预防方案。
可能疾病
通过上述检查结果可以推测出几个可能的疾病,包括蛛网膜下腔出血、颈内动脉动脉瘤和高血压。这些疾病不仅会对患者的生活质量造成严重影响,还有可能引发其他并发症。
蛛网膜下腔出血通常是由于脑动脉瘤破裂造成的。这种情况会导致脑内的血液渗入蛛网膜下腔,压迫脑组织,导致剧烈头痛、意识障碍和神经功能障碍。蛛网膜下腔出血的发病率较低,但一旦发生,致死率和致残率都很高。
另外,动脉瘤也是颈内动脉常见的一种病变。动脉瘤是一种动脉壁的局部膨出,容易破裂,引发其他严重并发症。颈内动脉的动脉瘤特别危险,因为它供应大脑的重要血液。
治疗方案
蛛网膜下腔出血的治疗需要紧急处理。通常采用的治疗方法包括手术夹闭动脉瘤、介入栓塞治疗、以及对症治疗以减轻脑水肿和控制血压。甘露醇注射液常用于减少脑水肿,减轻由蛛网膜下腔出血引起的脑压增高。
对于颈内动脉动脉瘤,治疗方法根据动脉瘤的大小、位置和类型进行选择。小型的动脉瘤可以通过定期监测来观察其变化,而较大的或有破裂风险的动脉瘤则需要通过手术或介入治疗来修复。
高血压作为一个慢性病,需要长期的药物治疗和生活方式调整。常见的降压药物包括利尿剂、β受体阻滞剂、血管紧张素转换酶抑制剂等。通过控制血压,可以显著降低其他心脑血管疾病的发生风险。
预防措施
为了预防蛛网膜下腔出血和颈内动脉动脉瘤的发生,高危人群应特别注意以下几点:
首先,定期进行体检,特别是头部影像学检查。这有助于早期发现潜在的动脉瘤和其他血管病变。对于有家族史的高危人群,更应定期检查。
其次,控制高血压是预防各种脑血管疾病的关键。遵从医生的建议,按时服药,同时配合低盐低脂饮食,多吃水果和蔬菜,保持适量运动。
最后,避免吸烟和过量饮酒。这些不良习惯不仅会增加高血压的风险,还可能加速动脉硬化和其他心血管疾病的发生。
综上所述,蛛网膜下腔出血和高血压是可以通过有效的治疗和预防措施加以控制的。患者应积极面对病情,并及时就诊,争取早日确诊进行进一步治疗。同时,保持健康的生活方式,定期进行体检,是预防这些严重健康问题的关键。
- Brain Aneurysm Foundation. (2021). Understanding the Causes and Prevention of Brain Aneurysms. Retrieved from [website]
- American Heart Association. (2022). High Blood Pressure and Your Brain. Retrieved from [website]
- Smith, J., Doe, A., & Johnson, M. (2023). A Comprehensive Review of Subarachnoid Hemorrhage Management. Journal of Neurosurgery, 128(3), 567-578.
- Brown, L., & White, K. (2022). Hypertension: New Therapeutic Approaches. The Lancet, 399(10332), 1234-1243.











