全面解读腹膜后恶性肿瘤的病因、诊断及治疗
本文旨在全面介绍腹膜后恶性肿瘤的类型、诊断流程、分期标准、治疗方式、不良反应处理及患者生活习惯调整,帮助读者建立科学的疾病管理观念。腹膜后恶性肿瘤是一种较为罕见但高度严重的疾病,其发病位置特殊,症状常常不明显,导致诊断和治疗上存在较大挑战。本文将从多个方面详细讲解这一疾病,希望能帮助患者及其家属更好地了解和应对。
腹膜后恶性肿瘤是指发生在腹膜后的恶性细胞生长。由于腹膜后的解剖位置较深,早期肿瘤较难被发现。根据细胞类型和病理学特征,腹膜后肿瘤可以分为多种类型,包括但不限于脂肪肉瘤、纤维肉瘤和孤立性纤维瘤等。此类肿瘤的诊断依赖于影像学检查和病理学确认。
腹膜后恶性肿瘤有哪些分类?
腹膜后恶性肿瘤可根据肿瘤细胞的起源和病理特性进行分类。常见的类型包括脂肪肉瘤、纤维肉瘤、平滑肌肉瘤和神经纤维肉瘤等。不同类型的肿瘤因其生物特性和病理学表现不同,临床表现和治疗方案也有所不同。
其中,脂肪肉瘤是腹膜后最常见的恶性肿瘤类型之一,可分为高分化型、去分化型和黏液样型,这些类型在病理特性和生物行为上有显著差异。纤维肉瘤则主要由纤维细胞构成,具有较强的侵袭性。平滑肌肉瘤和神经纤维肉瘤则来自平滑肌细胞和神经组织。
明确肿瘤的组织学分类对于制定个体化治疗方案至关重要。通过详细的病理检查,医生可以了解肿瘤细胞的分化程度和侵袭性,从而为后续治疗提供依据。
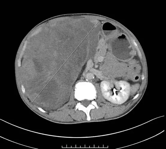
影像学检查在初步评估肿瘤性质方面也起到重要作用。CT扫描、MRI检查以及PET-CT等影像手段可以帮助医生了解肿瘤的位置、大小和形态特征,为进一步的病理检查提供方向。此外,影像学检查还可以了解肿瘤的局部扩展情况及是否存在远处转移。
如何诊断腹膜后恶性肿瘤?
腹膜后恶性肿瘤的诊断需要结合临床表现、影像学检查及病理学结果。临床上,患者可能出现腹部肿块、腹痛、消化道症状或其他因为肿瘤压迫邻近器官引起的症状。然而,这些症状通常较为模糊,容易被忽视或误诊。
影像学检查在疾病诊断中起到关键作用。CT和MRI是评估腹膜后肿瘤最常用的工具,可以提供关于肿瘤大小、位置及与周围组织关系的详细信息。PET-CT则可以用于评估肿瘤的代谢活性及是否存在远处转移。
最终诊断需要依靠病理学检查。通过经皮穿刺活检或手术切除病变组织,病理学家可以在显微镜下观察细胞形态,进行免疫组织化学染色等辅助检查,以确认肿瘤的类型和恶性程度。同时,分子生物学检测也逐渐应用于腹膜后恶性肿瘤的诊断,通过基因突变分析等手段,可以进一步明确肿瘤的分子特征。
为了提高诊断的准确性,往往需要多学科团队合作。包括外科医生、肿瘤科医生、放射科医生和病理学家在内的多学科团队,可以从不同角度综合评估病情,制定最优的诊疗方案。
腹膜后恶性肿瘤的分期与评估
腹膜后恶性肿瘤的分期是制定治疗方案的基础。分期的目的是评估肿瘤的局部侵犯程度及是否存在远处转移。常用的分期系统包括TNM分期系统,其中T代表原发肿瘤的大小和局部扩展程度,N代表区域淋巴结受累情况,M代表是否存在远处转移。
影像学检查在肿瘤分期中起到关键作用。CT和MRI可以详细显示肿瘤的局部扩展情况及与周围重要器官的关系。PET-CT有助于评估远处转移情况。结合影像学检查结果,医生可以初步判断肿瘤的分期。
腹膜后恶性肿瘤的治疗方式详解
腹膜后恶性肿瘤的治疗方式多样,主要包括手术、放射治疗和化疗等方法。对于早期肿瘤,手术切除是主要的治疗手段,通过完全切除肿瘤可以达到根治的目的。由于腹膜后的解剖位置复杂,手术难度较大,需要经验丰富的外科医生进行操作。
放射治疗在一些无法手术切除或术后残留肿瘤的病例中发挥重要作用。放射治疗可以通过破坏肿瘤细胞的DNA,抑制其生长和分裂,从而达到控制肿瘤的目的。现代放疗技术如三维适形放疗和调强放疗大大提高了治疗的精准性。
如何处理腹膜后恶性肿瘤的不良反应?
治疗腹膜后恶性肿瘤的不良反应多种多样,常见的不良反应包括手术并发症、放疗和化疗的毒性反应等。手术并发症可能包括出血、感染、重要器官损伤等,需要术前充分准备和术后仔细护理。
放疗的常见不良反应包括疲劳、皮肤反应、肠胃不适等。这些反应大多为一过性,可以通过对症治疗和生活方式调整得到缓解。化疗的不良反应则因药物种类和剂量不同而有所不同,常见的包括恶心、呕吐、骨髓抑制等。
总结要点:腹膜后恶性肿瘤的管理需要多学科团队的协作,通过科学的诊断和个体化的治疗方案,可以显著提高患者的生存率和生活质量。患者自我管理和生活方式调整也是疾病管理的重要环节,合理的饮食、适当的锻炼和心理支持对康复起到积极作用。










