小肠间质瘤的诊断与治疗
概述本文旨在全面介绍小肠间质瘤(GIST)的类型、诊断流程、分期标准、治疗方式、不良反应处理及患者生活习惯调整,帮助读者建立科学的疾病管理观念。小肠间质瘤(GIST)是一种源自胃肠道间质细胞的罕见肿瘤,多见于小肠和胃。不论是病理学角度还是临床表现,该疾病都有其独特之处。今天,我们将进一步了解小肠间质瘤的诊断与治疗方法,以及如何在治疗过程中针对常见不良反应进行处理。
GIST的发病机制目前尚不完全明了,但诸多研究已发现其与KIT或PDGFRA基因突变有关。准确的诊断不仅依赖于影像学检查,还需要结合病理分析才能最终确诊。治疗策略多种多样,包括手术和靶向药物治疗。
小肠间质瘤分类有哪几种类型?
小肠间质瘤可基于多个角度进行分类,包括病因、病理生理和临床表现。不论是哪种分类方法,目的都是为了更好地指导治疗方案的制定。
从病理学角度来看,GIST主要分为两大类:具备KIT基因突变的肿瘤和具备PDGFRA基因突变的肿瘤。这些突变会影响肿瘤对靶向药物的敏感性。因此,在确诊时,应进行相关基因检测。
从临床表现上,GIST可分为症状较轻和症状较重两类。轻症患者可能仅有轻微不适,而重症患者则可能出现消化道出血、腹痛或体重下降等更严重症状。
另外,根据肿瘤的大小和位置,GIST也可进一步分类。例如,小于2cm的小肠间质瘤通常为良性,而大于5cm的肿瘤则更易发生恶变。这些分类不仅有助于疾病的诊断,还能指导医生制定更为个性化的治疗方案。
如何确诊小肠间质瘤?
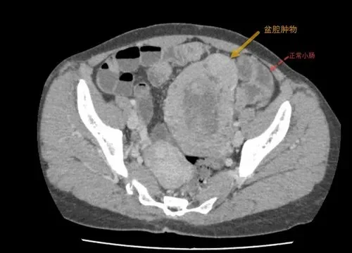
小肠间质瘤的诊断是一个复杂过程,需要结合临床信息、辅助检查结果及医生经验做出诊断。大量文献表明,影像学检查如CT或MRI在诊断GIST方面起到关键作用。
首先,患者在出现症状如消化道出血、腹痛或体重下降时,应立即就医。医生会根据病史和体检结果,考虑进行初步筛查。
其次,影像学检查是确诊GIST的重要手段。CT扫描可以显示肿瘤的大小、形态以及与周围组织的关系,而MRI则有助于进一步评估肿瘤的侵袭性。
最终的确诊需要依赖病理检查。通过内镜活检获取组织样本,并进行免疫组化染色鉴定KIT或PDGFRA突变,这一步至关重要。病理结果不仅能确诊GIST,还能为后续治疗提供依据。
小肠间质瘤的分期与评估,引用相关文献
分期是制定治疗方案的重要依据,GIST也不例外。分期主要依据肿瘤的大小、部位、间质细胞的分化程度及是否发生转移等因素。
根据NCCN指南,GIST分为局限性疾病、局部进展性疾病和转移性疾病三期。每一期的治疗策略有所不同。
小肠间质瘤的治疗方式详解
针对小肠间质瘤的治疗方案多种多样,根据肿瘤的分期和患者的具体情况,医生会制定最合适的治疗计划。
1. 手术治疗:是治疗GIST的主要手段,特别是对局限性肿瘤。通过外科手术切除病灶可以达到根治的目的。
2. 靶向药物治疗:主要是针对具备特定基因突变的肿瘤,如伊马替尼可以有效抑制KIT或PDGFRA突变阳性的肿瘤细胞增生。
3. 辅助治疗:对于无法手术或术后复发的患者,靶向治疗或放化疗也是重要选择。另外,关注患者的营养状况和生活质量,恢复期的心理疏导也非常重要。
如何处理小肠间质瘤治疗过程中的不良反应?
药物治疗过程中,患者可能会经历不同程度的不良反应。常见的有恶心、呕吐、皮肤问题、血象异常等。
面对这些不良反应,医生通常会建议调整剂量或更换药物,必要时还会配合对症治疗,如止吐药、防治皮疹药或补充血细胞等。
患者应定期复诊,与医生保持密切沟通,确保治疗的副作用在可控范围内。此外,心理支持和家庭关怀也非常重要,有助于缓解患者的心理压力。
总结要点小肠间质瘤的诊断与治疗是一个系统工程,需要患者和医生的密切配合。及时诊断、科学分期和个性化治疗方案,可以最大限度地提高治疗效果,改善患者的生活质量。同时,不良反应的管理和心理支持也是疾病管理中不可忽视的环节。通过科学的疾病管理,患者可以获得更好的治疗效果和生活质量。










