解密胰腺炎:用MRI看清膳食隐患与健康之道
01 胰腺炎:隐秘的消化道守护者 🩺
有时候,消化不适并不是简单的饮食问题。常常忙碌一天后,突然感觉腹部有些不舒服,又说不清是哪里出毛病。这种隐隐的不适,特别是在吃完油腻菜肴之后,总让人无法忽视,但又似乎不太严重。其实,在身体的深处,胰腺正在默默承担着重要工作。
胰腺位于胃的后方,不大却至关重要。它分泌多种消化酶,帮助分解脂肪、蛋白质和碳水化合物,还能释放胰岛素,让血糖保持平稳。如果胰腺受损,消化和代谢就会混乱,长期下去甚至可能出现严重危机。
不过,胰腺的问题常出现得很"低调"。初期,胰腺炎往往只是让人感到稍微腹胀或者轻微疼痛,很少有人会立刻联想到这位"消化小卫士"已经发出了求救信号。
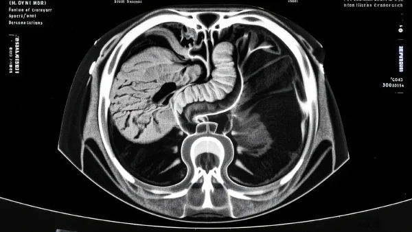
02 MRI检查:揭示胰腺炎的“真面目” 🔎
当身体出现异常,而常规检查又查不出什么大问题时,医生有时会建议做MRI(磁共振成像)。这种无创检查方式,能通过强磁场和射频信号,清晰地展示胰腺及其周围组织的结构变化。说起来,MRI对胰腺而言有点类似显微镜——能把这个“隐身高手”的细节毫无保留地展示在医生面前。
与CT相比,MRI不用辐射,尤其适合需要反复检测的慢性胰腺炎患者,也适合对放射线敏感的人群。通过不同的参数设置,MRI可以分辨胰腺炎造成的肿胀、坏死和局部积液,帮助医生判断病情的轻重。
注意: MRI主要观察这些关键点:胰腺整体形态、信号均匀性、结节和周围液体变化。
| MRI 检查项目 | 主要作用 |
|---|---|
| 基础T1/T2序列 | 显示胰腺肿胀、出血及坏死情况 |
| 增强扫描 | 评估血供及病变范围 |
| MRCP序列 | 观察胰胆管结构,有没有堵塞或扩张 |
03 胰腺炎的影像学表现:如何读懂MRI图像 🖼️
影像科医生看MRI,关注的不是表面“黑白灰”,而是那些细微的“信号”和异常区。胰腺炎的MRI表现其实有迹可循,只要找到关键特征,专家就能一眼识别出问题所在。
- 肿胀:急性发作时,胰腺往往会明显变大,边缘模糊;慢性期,反而会有局部萎缩。
- 腹水或渗出液:急性炎症严重时,MRI可见周围有液体堆积,甚至扩展到腹腔其他部位。
- 坏死或囊肿:严重病例中会有“黑区”或者囊样阴影,表明局部细胞已经失活。
- 胰管扩张或狭窄:在慢性炎症下可见胰管形态改变,像一根不再通畅的小管道。
04 急性与慢性胰腺炎:MRI上的不同角度
| 类型 | MRI 主要表现 | 临床意义 |
|---|---|---|
| 急性胰腺炎 | 肿胀,信号不均匀,周边有液体积聚 可见局灶性坏死 | 需快速判断病情严重程度,防止并发症 |
| 慢性胰腺炎 | 胰腺萎缩,出现钙化,胰管变细 可見囊肿,结构“空洞化” | 需长期管理,注重功能保护和并发症筛查 |
这样病例说明,MRI不仅能明确诊断,还能指导后续的生活方式调整和复查安排。
05 临床案例分享:从MRI影像看病历故事
一位34岁女性,近期频繁上腹胀满,疼痛不明显。MRI显示胰腺轻度肿胀,有周围少量液体。通过几天住院观察,明确为轻型急性胰腺炎,及时控制后恢复顺利。这类病例说明,早期发现和积极处理十分重要。
68岁男性,长期喜欢重口味饮食,最近出现间断腹部疼痛和消瘦。MRI发现胰腺实质大量钙化,胰管明显扩张。被诊断为慢性胰腺炎,营养支持和功能维护后症状有所缓解。
两个案例最大区别就在于:早期轻微症状不易觉察,而长期反复发作,身体出现慢性损害就难以完全逆转。
这提醒我们,身体的小信号不能拖。
- MRI能够帮助医生精确定位胰腺问题,为不同阶段的治疗争取时间。
- 一旦有腹部持续不适,及早就医、必要时行MRI检查,能有效防止病情拖延。
06 预防与治疗:健康饮食与生活方式的重要性 🥗
与其等到症状严重才关注,不如平时就养成习惯,把胰腺保养得好一点。饮食和规律作息,是胰腺健康的关键。简单来讲,推荐“三多一少”:
| 食物类型 | 功效 | 实用建议 |
|---|---|---|
| 全谷物(燕麦、糙米) | 富含膳食纤维,促进消化 | 早餐加入一小碗,全家适用 |
| 优质蛋白(鱼、豆制品) | 有助胰腺组织修复 | 每天搭配鱼肉和豆腐更平衡 |
| 新鲜蔬菜水果(菠菜、蓝莓) | 含抗氧化物质,保护胰腺细胞 | 三餐搭配不同颜色蔬果 |
| 高钾低脂饮食 | 降低胰腺负担 | 少用油煎炸,选择蒸煮更合适 |
有研究支持,多摄入膳食纤维和抗氧化物质有助降低胰腺炎发生风险 (Larsson, S.C. et al., 2006)。
此外:
- 规律作息,充足睡眠
- 每天适量运动
- 定期体检,监测胰腺相关指标
参考文献
- Wang, Z., et al. (2017). "Role of MRI in the Diagnosis and Assessment of Acute Pancreatitis." European Radiology, 27(6), 2342-2352.
- Larsson, S.C., Virtanen, M.J., et al. (2006). "Dietary Fiber and Risk of Pancreatitis." JAMA, 296(14), 1774-1781.
- Catalano, O., et al. (2010). "MR imaging of acute and chronic pancreatitis." Radiologic Clinics of North America, 48(3), 549–565.












