慢性支气管炎与肺气肿:从诊断到治疗的全面指南
本文旨在全面介绍慢性支气管炎与肺气肿的类型、诊断流程、分期标准、治疗方式、不良反应处理及患者生活习惯调整,帮助读者建立科学的疾病管理观念。慢性支气管炎和肺气肿是慢性阻塞性肺疾病(COPD)的两大主要类型。慢性支气管炎通常表现为长期咳嗽和咳痰,而肺气肿则以肺泡被破坏、肺部弹性减退为特点。二者都能显著影响患者的生活质量,需要及时和有效的干预。
在上述疾病综合管理过程中,正确的诊断、适当的治疗和良好的生活习惯调整是关键。本文会详细介绍这些领域,帮助患者和家属更好地理解并应对这些病症。
如何分类慢性支气管炎和肺气肿?
慢性支气管炎和肺气肿的分类方法多种多样,主要依据病因、病理生理和临床表现等角度进行分类。
根据病因,慢性支气管炎和肺气肿可以分为原发性和继发性。原发性通常与长期吸烟、空气污染、职业暴露等相关。继发性则可能与其他肺部疾病或全身性疾病有关,如感染、结核或者免疫系统疾病。
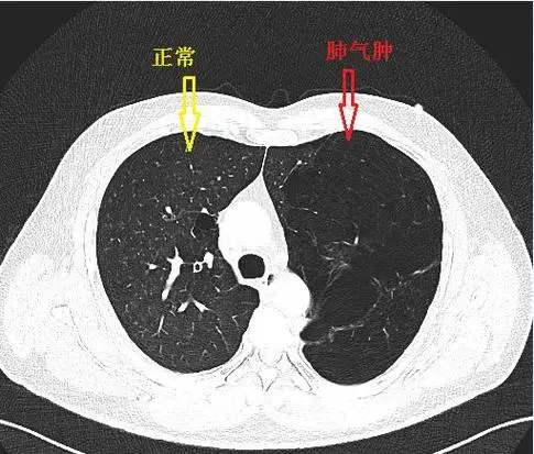
在病理生理层面,慢性支气管炎更多表现为气道炎症和痰液分泌增加,而肺气肿主要特征是肺泡被破坏、气道弹性减退和气流受阻。这些病理改变通过肺功能检查、胸部影像学等可以较为准确地诊断。
临床表现方面,慢性支气管炎和肺气肿都有咳嗽、咳痰、气促等症状,但二者存在明显差异。慢性支气管炎患者咳嗽、咳痰的症状更为突出,肺气肿患者则往往以呼吸困难为主要症状。
如何进行正确的诊断?
慢性支气管炎和肺气肿的诊断依赖于详细的病史采集、体格检查和多种辅助检查结果的综合分析。医生通常通过询问患者的症状持续时间、生活和工作环境、既往病史及家族病史来获取关键信息。
辅助检查方面,肺功能检查是慢性阻塞性肺疾病诊断的金标准。通过测量用力肺活量(FVC)和第一秒用力呼气容积(FEV1),可以判断气流受限的程度。此外,胸部X线、CT扫描等影像学检查在确诊肺气肿、评估病变范围和判断病情严重程度方面也具有重要价值。
医生的经验在诊断过程中也发挥重要作用。通过对症状和检查结果的系统分析,结合患者的具体情况,医生能更准确地做出诊断并制定个体化的治疗方案。
如何评估疾病的分期?
慢性支气管炎和肺气肿的分期对于制定治疗方案、预后评估有重要意义。目前临床上多采用全球慢性阻塞性肺疾病倡议(GOLD)分期标准,根据患者的症状、肺功能和急性加重次数等进行分期。
GOLD标准将慢性阻塞性肺疾病分为四期:轻度(I期)、中度(II期)、重度(III期)和极重度(IV期)。每个阶段的治疗目标和干预措施有所不同,例如,早期主要是减少症状和延缓疾病进展,晚期则更侧重于改善生活质量和减少并发症。
治疗方式详解
慢性支气管炎和肺气肿的治疗包括药物治疗、非药物治疗和生活方式调整等多种方式。
药物治疗方面,常用的药物包括支气管扩张剂(如短效β2受体激动剂、长效胆碱能拮抗剂)、抗炎药(如吸入性糖皮质激素)和祛痰药(如羧甲司坦)。这些药物能缓解症状、减少急性加重次数,提高生活质量。
非药物治疗包括肺康复、吸氧治疗和外科手术等。肺康复通过有氧训练、呼吸肌锻炼等综合干预,提高患者的运动耐力和生活质量。吸氧治疗适用于低氧血症患者,可显著改善生存率和生活质量。部分病情严重、药物治疗效果不佳的患者可能需要手术治疗,如肺减容手术和肺移植。
不良反应的处理
药物治疗过程中不可避免地会出现一些不良反应,常见的不良反应包括头晕、心慌、胃肠不适等。患者需要定期随访,根据具体情况调整治疗方案。
对于出现严重不良反应的患者,医生会考虑减少药物剂量、更换药物或增加对症治疗。患者及其家属需要密切关注病情变化,及时就医。
总结要点:慢性支气管炎和肺气肿的管理是一个复杂而连续的过程,涵盖从诊断、分期、治疗到不良反应处理的各个环节。科学管理和患者自我管理对于提高生活质量、改善预后具有重要意义。通过本文的介绍,希望读者能够对这些肺部疾病有更全面的认识,并在实际生活中科学应对。










