了解桥小脑角区病变:从诊断到治疗
本文旨在全面介绍桥小脑角区病变的类型、诊断流程、分期标准、治疗方式、不良反应处理及患者生活习惯调整,帮助读者建立科学的疾病管理观念。
桥小脑角区是位于大脑和小脑之间的一个关键区域,因其复杂的解剖结构和重要的生理功能,任何在此区域发生的病变都会对患者的健康产生重要影响。本篇文章将从专业的角度,逐步解析桥小脑角区病变的核心知识。
通常情况下,桥小脑角区的病变可能会引发多种症状,如听力下降、眩晕、面部无力以及吞咽困难等,因此在临床中常被误诊或延误诊断。准确的诊断和及时的治疗对改善患者预后至关重要。
桥小脑角区病变如何分类?
桥小脑角区病变主要可以从病因、病理生理和临床表现三个角度进行分类。根椐病因,常见的有肿瘤性病变、血管性病变和感染性病变。
从病理生理角度看,这些病变往往是由于局部组织异常生长、血管畸形或者感染导致的炎症反应造成的。
临床表现方面,患者常报道如听力下降、耳鸣、眩晕、面部感觉异常等,这些症状通常与病变部位压迫到附近神经组织有关。桥小脑角区的病变很有可能累及到颅神经,导致相应的症状。
具体来说,最为常见的桥小脑角区占位病变是听神经瘤,这是一种良性肿瘤,占比超过70%。此外,还包括脑膜瘤、血管瘤和鳞状细胞癌等。不同病变类型的治疗方法和预后也各不相同。
如何诊断桥小脑角区病变?
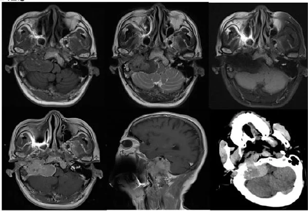
诊断桥小脑角区病变需要结合临床信息、辅助检查结果及医生经验。常用的影像学检查包括磁共振成像(MRI)和计算机断层扫描(CT),这些检查可以帮助明确病变的性质、大小和位置。
由于桥小脑角区的病变可能涉及多个不同的神经结构,全面的神经系统检查也是必须的。医生通常会进行听力测试、眼部检查以评估病变对于颅神经的影响程度。
在部分疑难病例中,医生可能会建议进行进一步的电生理检查或手术活检。这些手段可以提供更详细的信息,帮助明确诊断。
文献指出,准确的早期诊断对于提高患者生活质量至关重要
桥小脑角区病变的分期与评估
桥小脑角区病变的分期主要是根据其大小及对周边结构的浸润程度来评估的。常见的分期标准包括按照病变直径、是否累及重要神经结构以及有没有发生远处转移。
病变的大小与症状严重程度往往成正比,这也是为什么早期发现和治疗非常关键。通常情况下,医生会根据影像学的结果来评估病变的大小和范围。
侵及重要神经结构的病变,如累及面神经、听神经等,往往预后不良,需要更加积极的治疗策略。
为了避免病情恶化,定期复查和监测也是非常必要的,尤其针对术后患者,这一点尤为重要。
桥小脑角区病变的治疗方式详解
桥小脑角区病变的治疗方式因病变性质和范围而异,常见的治疗方法包括手术治疗、放射治疗和药物治疗。
手术治疗是较为常见的治疗方式,主要适用于大多数良性肿瘤和部分恶性肿瘤。手术切除可以较为彻底地去除病变,缓解症状。
对于不适合手术的患者,尤其是那些病变较小或者位置特殊的病变,可以选择放射治疗,如伽马刀。放射治疗通过高能辐射来缩小或消除病变。
某些情况下,药物治疗也可以作为辅助治疗手段,特别是对症状的缓解和病情进展的控制非常重要。
不良反应相关处理
治疗桥小脑角区病变的过程可能会带来一些不良反应,常见的不良反应包括头痛、恶心、听力下降、面部麻木等。
不良反应的严重程度取决于治疗方式和患者个体差异。对于手术治疗,术后可能会出现感染、出血和神经损伤等情况。
放射治疗的不良反应相对较轻微,但患者可能会经历疲劳、皮肤红肿等。药物治疗的副作用则因药物种类而异,通常会有胃肠道不适。
患者在治疗期间需严格遵医嘱进行定期复查,及时发现和处理任何不良反应,避免情况恶化。
总结要点:回顾疾病管理的关键环节,强调科学管理和患者自我管理的重要性。通过以上几个方面的详细阐述,我们可以看到,桥小脑角区病变的科学管理是一个复杂而多方位的过程,需要患者与医护人员的共同努力。科学规范的治疗和有效的日常管理可以大大提高患者的生活质量和预后效果。











