多发腔隙性脑梗死的临床诊断与管理
本文旨在全面介绍多发腔隙性脑梗死的类型、诊断流程、分期标准、治疗方式、不良反应处理及患者生活习惯调整,帮助读者建立科学的疾病管理观念。
多发腔隙性脑梗死是一种常见的慢性脑血管疾病,主要影响中老年人群。它常伴随着动脉硬化、高血压等心血管风险因素。由于该疾病早期症状不明显,容易被忽视,因此科学的诊断和管理尤为重要。
在日常生活中,患者需要注意饮食控制和生活方式的调整,保持良好的血压和血糖管理。同时,定期的复诊和影像学检查是病情监控的重要手段。
多发腔隙性脑梗死的分类有哪些?
多发腔隙性脑梗死是一种复杂的神经疾病,其分类可以根据多个角度进行,包括病因、病理生理和临床表现等。
从病因来看,主要包括动脉硬化、高血压、小动脉病变等。这些因素会导致脑部血流供应不足,进而引发腔隙性梗死。
从病理生理角度,腔隙性脑梗死主要是由于小血管闭塞引起的脑组织缺血、坏死。与大面积脑梗死不同,腔隙性脑梗死的病灶较小,但数量众多,易累及多处脑区,影响广泛。
临床上,腔隙性脑梗死的表现多为反复发作的轻微脑血管事件,症状包括轻度认知障碍、感觉异常、运动障碍等。由于这些症状较轻微且不特异,常被患者和医生忽视。
如何进行多发腔隙性脑梗死的临床诊断?
多发腔隙性脑梗死的诊断主要依靠临床表现、影像学检查及医生的综合评估。患者的病史、症状和体征是初步诊断的基础。
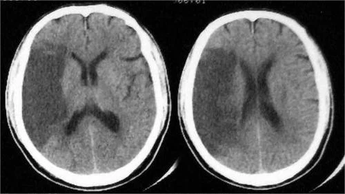
影像学检查,如CT和MRI,是确诊腔隙性脑梗死的金标准。CT可以显示脑组织中的低密度病灶,而MRI则能够更清楚地展示小血管的闭塞情况及其引起的细微病变。
实验室检查可以帮助排除其他病因。血液检测可以评估患者的血脂、血糖和血压情况,心电图和超声心动图则可用于评估心血管功能。
医生的经验在诊断过程中也至关重要。通过综合病史、临床症状及影像学检查结果,医生能够做出准确的诊断,制定相应的治疗方案。
多发腔隙性脑梗死的分期与评估
多发腔隙性脑梗死的分期主要依据病灶数量、分布及对患者功能的影响。病情评估包括影像学检查、神经功能评估和患者的生活自理能力。
早期腔隙性脑梗死可能无明显症状,随病灶数量增多,症状逐渐显现,影响患者的认知和运动功能。定期随访和监测有助于及时调整治疗策略。
多发腔隙性脑梗死的治疗方式
治疗多发腔隙性脑梗死的目标是改善脑血流,提高神经功能,预防新梗死发生。常用药物包括抗血小板药物、降脂药物和降压药物。康复训练也是治疗的重要组成部分。
此外,生活方式的调整,如健康饮食、适度运动和避免吸烟,也有助于疾病的管理和康复。
不良反应相关处理
治疗过程中可能出现一些不良反应,如药物副作用、运动障碍等。患者应定期复诊,及时向医生反馈不适症状,调整治疗方案。
综上所述,科学的管理和患者自我管理对于多发腔隙性脑梗死的预防和治疗至关重要。通过合理的药物治疗、定期检查和生活方式调整,可以有效控制病情,改善患者生活质量。












