震惊!医生从CT中发现了这种常见的潜在危害——你了解肺部微结节吗?
你或许听说过肺结节,但你知道在一份常规的胸部CT扫描中,医生可能会发现哪些危害潜在的变化吗?本文将带你深入了解各种CT报告中的异常结果,特别是肺部微结节以及与之相关的慢性疾病。
肺部微结节的检出,尤其是对老年人来说,可能会引起相当担忧。我们将在此为大家详细解释什么是肺部微结节,为什么这些微小的发现需要密切关注及其背后的潜在健康隐患。
你可能遭遇的肺部微结节问题
许多60岁以上的人在偶然的影像检查中会发现肺部微结节。这些结节的形成原因多种多样,可能是由于感染、炎症甚至早期的恶性肿瘤。
根据《新英格兰医学杂志》(NEJM)的一项研究表明,约50%的肺部微结节在随访过程中呈现稳定状态,不会有显著变化或变成恶性肿瘤。但仍有20%左右的微结节具有演变为癌症的潜在风险,因此需要进一步随访观察。
这些发现提示我们,肺部微结节虽然在早期可能无症状,但是一旦忽略它们的存在,错过了早期干预的最佳时间,后果可能较为严重。
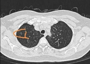
微结节的临床及影像学表现
肺部微结节的成因包括感染、炎症反应、结核、良性肿瘤甚至早期恶性肿瘤。CT扫描是目前最佳的影像学检查方法,可以高分辨率地呈现微小结节的具体情况。结节的大小、边界特征及内部密度等特点均可帮助医生判断。
根据《Journal of Clinical Oncology》(JCO)的研究,微结节的大小大于8毫米的患者需要进行定期的随访和观察(每3-6个月一次)。此外,CT影像中若发现结节的边缘呈不规则或毛刺状,其癌变可能性更高。这些特点在临床上会影响医生对结节性质的判断和处理方式。
肺部微结节和其他疾病的关系
除了微结节,影像报告中还提到了左肺下叶的慢性炎症。这表明患者可能经历过长期的感染或炎症反应,带来慢性肺病的风险。长期的慢性炎症可能会导致肺组织的局部纤维化,影响肺功能。
左侧部分肋骨的陈旧性改变提示患者有过骨折病史,通过影像可以看出,虽然骨折已经愈合,但可能有有所谓“老伤”的迹象。
治疗方案
对于肺部微结节,医生通常会建议定期的随访复查。根据《新英格兰医学杂志》(NEJM),小于6毫米的结节一般无需特别处理,但需要每年随访一次。大于8毫米或有怀疑的结节则需进一步检查,可能包括PET-CT、穿刺活检等。
对于慢性肺炎,积极治疗原发感染或炎症,并使用抗炎药物和支持疗法如雾化治疗等,可以减轻症状和预防病情进展。
预防措施
预防肺部微结节的首要方法是戒烟,吸烟是导致肺部各种疾病包括肺癌的主要危险因素。其次,保持良好的生活方式,定期进行健康体检,即使无症状者,40岁以上也建议每年一次胸部低剂量CT筛查。
对有慢性疾病如慢性阻塞性肺疾病(COPD)、结核病史等患者,日常需严密监测肺功能,按照医嘱进行治疗,预防急性加重发作。同时,还需注意室内空气环境,避免长期接触有害气体如二手烟、工业粉尘等。
未来医学技术期待
医学的发展为肺部微结节的检测和治疗带来了新的希望,目前的人工智能(AI)技术可以更精确地检测和监测肺部微结节,增加早期发现和诊断的准确性。
未来,基因检测和分子生物学技术的发展可能会提供更个体化的治疗方案。通过对患者基因组的分析,可以找到最有效的针对性治疗方法,提高疗效并减少不必要的治疗负担。
如果不幸罹患肺部疾病,心理支持和家人的关爱同样重要。患者需保持积极心态,严格遵从医嘱进行治疗。在调整心态的同时,可以加入相关的患者支持团体,分享经验和获取专业的心理支持。
引用文献
1. The National Lung Screening Trial Research Team. Reduced lung-cancer mortality with low-dose computed tomographic screening. N Engl J Med. 2011 Aug 4;365(5):395-409.
2. Gould MK, Tang T, Liu IL, et al. Recent trends in the identification of incidental pulmonary nodules. Am J Respir Crit Care Med.
3. MacMahon H, Austin JH, Gamsu G, et al. Guidelines for management of small pulmonary nodules detected on CT scans: a statement from the Fleischner Society.
4. Mazzone PJ, Silvestri GA, Patel S, et al. Screening for lung cancer: CHEST guideline and expert panel report. Chest.2018 Apr 1;153(4):954-985.
5. Smith RA, Andrews KS, Brooks D, et al. Cancer screening in the United States, 2019: A review of current American Cancer Society guidelines and current issues in cancer screening. 2022.
6. Chiles C. Lung cancer screening with low-dose CT-radiology. 2014 Sep 4.











