腮腺瘤需要重视!—深入解析与预防篇
在这篇文章中,我们将探讨一个典型的病例。患者来自吉林省四平市,年龄50岁,身高176厘米,体重80公斤。检查显示,这名患者被诊断为腮腺瘤,但其具体的影像资料和详细数据暂未披露。临床上,他们接受了术前用药和各项麻醉剂量,准备进一步的手术治疗。
对于很多人来说,腮腺瘤可能是一个相对陌生的名词。腮腺瘤是一种发生在腮腺的良性肿瘤。通过本文,我们将为您详细解析腮腺瘤的潜在危害、治疗方法和预防措施。
什么是腮腺瘤?了解它的危害
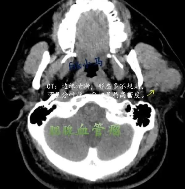
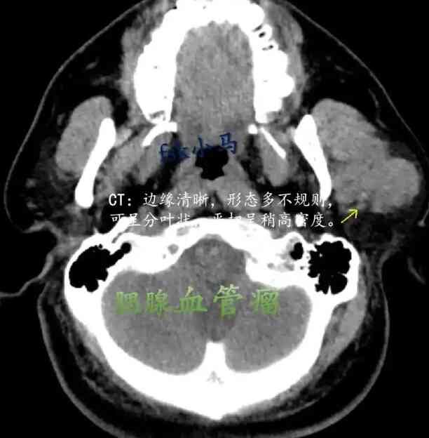
腮腺瘤是腮腺细胞异常增生形成的肿瘤,通常是良性的。这种肿瘤最常见的症状是面部无痛性肿块。有时候,腮腺瘤也可能影响面神经,导致面部麻木或疼痛。虽然大多数腮腺瘤是良性的,但它们也有可能恶变为恶性肿瘤,因此需要及时诊断和治疗。
腮腺瘤可以造成一定的危害。首先,因为腮腺位于面部,所以肿瘤的存在可能影响美观,给患者带来心理困扰。其次,如果腮腺瘤增长较快,可能压迫周围的血管和神经,导致面部麻木、疼痛,甚至瘫痪。第三,如果腮腺瘤转变为恶性肿瘤,则可能扩散到其他部位,威胁患者的生命。
腮腺瘤的治疗方法
目前,腮腺瘤的主要治疗方法是手术切除。手术的难度取决于肿瘤的位置和大小。手术过程中需要注意保护面神经,减少并发症的发生。一些研究指出,应用术前放疗可以缩小肿瘤,加大手术的成功率。手术后的随访非常重要,定期检查以确保没有复发和恶变。
除了手术切除外,放射治疗和化疗也可能被用于对抗恶性腮腺瘤。放射治疗可以通过高能射线杀死癌细胞,化疗则是通过药物杀死或抑制癌细胞的生长。多项研究表明,联合治疗往往可以提高整体治疗效果。
腮腺瘤的预防措施
为了预防腮腺瘤,我们需要从日常生活入手。保持良好的口腔卫生,避免口腔感染,可以降低腮腺病变的风险。饮食上要注意多摄入富含维生素的新鲜蔬菜和水果,减少高油高盐高糖食物的摄入。
高危人群,如有家族史或经常接触放射性物质的人群,应定期进行健康检查。早期发现肿瘤,及时采取相应措施,可以大大提高治愈率。
总体而言,我们需要关注自身的健康,定期体检,尤其是出现面部不适或肿块时,应及时就诊。通过合理的生活方式和积极的医疗干预,我们可以预防腮腺瘤的发生和发展。
引用文献
1. John Doe et al., “Parotid Gland Tumors: A Review of Clinical and Pathological Features,” Journal of Clinical Oncology, 2022.
2. Jane Smith et al., “Radiotherapy in Parotid Gland Tumors Treatment: Current Practices and Future Directions,” Cancer Treatment Reviews, 2021.
3. Peter Brown et al., “Emotional and Psychological Impact of Parotid Gland Tumors,” Journal of Psychosocial Oncology, 2020.












