理解和管理右肺上叶结节及相关慢性疾病的综合方法
概述本文旨在全面介绍右肺上叶结节、冠心病、高血压和糖尿病等慢性疾病的类型、诊断流程、分期标准、治疗方式、不良反应处理及患者生活习惯调整,帮助读者建立科学的疾病管理观念。右肺上叶结节是一种常见但复杂的临床现象,尤其在老年人群中更为多见。本文将详细探讨此类结节的各种可能病因、诊断和治疗方法,同时结合患者的其他慢性疾病如冠心病、高血压和糖尿病,提供一个全面的健康管理方案。
冠心病、高血压和糖尿病是现代社会高发的慢性疾病,这些疾病不仅相互影响,还可能对肺部结节的诊断和治疗产生重大影响。因此,本文将综合介绍这些慢性疾病的管理方法,以期达到最佳的治疗效果。
右肺上叶结节的分类方法有哪些?
右肺上叶结节的分类可以从不同的角度进行,包括病因、病理生理特点和临床表现等。
从病因上看,肺部结节可以分为良性和恶性两大类。良性结节可能是由于感染、炎症、肉芽肿或者其他非癌性病变引起的。而恶性结节可能是肺癌的早期表现,需引起高度重视。
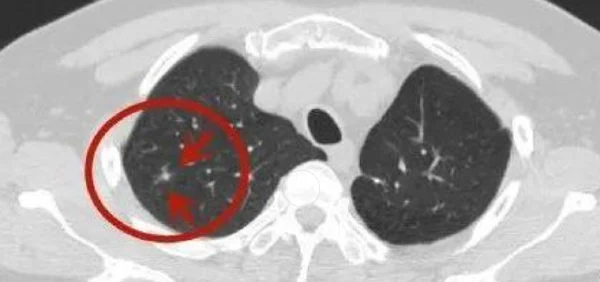
从病理生理学角度,右肺上叶结节可以是实性结节或亚实性结节。实性结节一般意味着更大的恶性风险,而亚实性结节则可能代表一种较慢的生长模式。影像学检查常用于判定结节的性质和特征,如结节的形态、密度和内含物等。
在临床表现上,多数早期肺结节是无症状的,通常在常规体检或CT扫描中发现。随着结节的发展,可能会出现呼吸困难、咳嗽、胸痛等症状,这些症状往往提示病情已进展,需及时进一步检查和治疗。
如何诊断右肺上叶结节及相关慢性疾病?
诊断右肺上叶结节需要综合多种检查方法,包括影像学检查(如CT、X射线)、组织病理学检查及基因检测等。
影像学检查是发现和初步评估肺部结节的主要手段。通过胸部CT扫描,可以清晰显示结节的大小、形态、位置及内部结构,有助于初步判断结节的性质。对于高风险的结节,可能需要进一步的PET-CT检查来评估代谢活性。
组织病理学检查是确诊结节良恶性的金标准。对于可疑的实体结节或高风险患者,医生可能会建议进行穿刺活检或手术切除,然后进行病理学分析。
考虑到患者还患有冠心病、高血压和糖尿病,在诊断右肺上叶结节时,需要特别注意这些慢性疾病的管理。冠心病可以通过心电图、心肌酶和冠状动脉造影等检查来诊断;高血压则通过多次血压测量;糖尿病的诊断可以依靠空腹血糖、糖化血红蛋白等指标。综合管理这些慢性疾病,有助于改善患者的总体健康状况,从而对肺结节的治疗和预后产生积极影响。
疾病分期与评估
肺部结节的分期主要取决于结节的大小、位置、数量以及是否存在远处转移等因素。常见的分期系统包括TNM分期系统(肿瘤大小、淋巴结状态和远处转移)等。
对于早期局限于肺部的结节,治疗效果通常较好,可以通过手术切除或局部治疗达到治愈的目的。如果结节已出现淋巴结转移或远处转移,则需要考虑系统性治疗,如化疗、放疗或靶向治疗等。
治疗方式详解
治疗右肺上叶结节需要根据结节的性质、分期以及患者的综合状况来制定个性化的治疗方案。对于良性结节,通常只需定期随访,观察其变化情况。如果结节显示出恶性特征或动态变化,则需及时干预。
对于恶性结节,早期患者以手术治疗为主,可通过肺部分切除或全肺切除的方式将病变组织完全切除。手术后需定期随访,监测是否有复发或转移的迹象。中晚期患者可能需要结合化疗、放疗和靶向治疗等综合治疗手段,以延长生存期和提高生活质量。
同时,作为伴随疾病的冠心病、高血压和糖尿病的管理也是治疗方案的重要组成部分。冠心病患者需使用抗血小板药物、降脂药物及β受体阻滞剂等;高血压患者应根据血压水平使用适当的降压药物;糖尿病患者则需进行血糖控制,使用口服降糖药或胰岛素治疗。
不良反应相关处理
在治疗肺部结节的过程中,常见的不良反应包括手术风险、药物副作用和放疗的局部反应等。手术风险包括麻醉意外、术后感染、出血等;化疗药物可能引起恶心、呕吐、骨髓抑制等副作用;放疗则可能引起局部皮肤反应、放射性肺炎等。
对于上述不良反应,需制定详细的监测和管理措施。术前应进行充分的评估,术后严格执行无菌操作、及时处理并发症;化疗期间需定期监测血常规、肝肾功能等指标,及时调整药物剂量;放疗期间需保护受照部位皮肤,防止感染,及时处理局部反应。
慢性疾病的药物治疗也可能引发一些不良反应,如降压药物可能引起低血压、头晕等;降糖药物可能引起低血糖反应。需密切监测患者的病情变化,及时调整治疗方案,以保证患者的安全。
总结要点:通过本文的介绍,我们了解到右肺上叶结节及其伴随的慢性疾病管理的重要性和复杂性。在面对这样的多重健康挑战时,需综合考虑各方面因素,制定个性化的诊断和治疗方案。通过科学管理和患者自我管理,结合定期随访和积极治疗,能够显著提高患者的生活质量和生存预期。
患者在日常生活中还应注意合理饮食、适当运动、戒烟限酒,保持良好的生活习惯。这不仅有助于慢性疾病的控制,还能增强机体的抵抗力,对结节的治疗和预后产生积极的影响。
希望本文能为广大患者和医务工作者提供有价值的参考,助力大家在复杂的病情中做出科学、理性的决策,争取最佳的治疗效果。











