摆脱急性支气管炎的困扰:对症治疗和有效预防
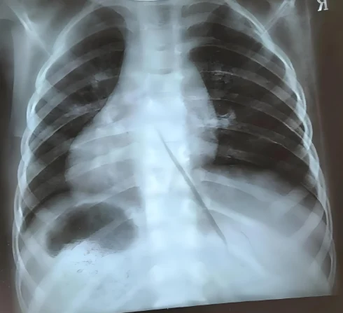
根据某位患者的检查报告显示,该患者被诊断为急性支气管炎。报告中标示了几个关键的异常指标,如白细胞总数(WBC)和C反应蛋白(CRP)。通常,WBC的正常范围为4.0-10.0×10^9/L,CRP的正常范围为0-5mg/L。上述患者WBC在异常增高范围内,且CRP升高,提示身体可能存在急性感染。
患者报告的主诉包括发热1天余,最高体温达38.9度,同时伴有呼吸道症状,如咳嗽和咳痰,后检测新冠抗原呈阳性,但未未见明显的慢性疾病史和药物过敏史。这些症状以及检查结果均指向急性感染,特别是支气管的急性炎症。
急性支气管炎:可能的疾病原因
急性支气管炎是一种常见的呼吸道疾病,通常由病毒感染引起,如流感病毒、偏肺病毒等。细菌感染也可以成为诱因,尤其是当病毒感染后继发细菌感染。空气污染、吸烟和暴露于有害化学物质等环境因素也可增大患病风险。
支气管是连接气管和肺泡的管道,当感染入侵时,支气管内壁的黏膜会出现炎症反应,导致黏液分泌增加,气道变得狭窄。这不仅会引起咳嗽、痰多等症状,还可能出现胸闷、呼吸不畅的情况。在病程初期,感冒或流感的症状比较常见,但若不及时处理,可能会导致更严重的并发症。
急性支气管炎的治疗方案
治疗急性支气管炎主要包括抗感染治疗、支持治疗以及对症处理。抗感染治疗通常使用抗生素,如头孢地尼、阿莫西林等,但这些药物需根据病情由医生判断是否使用。抗生素的使用应遵循医学指导,避免滥用。
支持治疗方面,鼓励多饮水、充分休息、进食富含营养的食物,帮助身体快速恢复。此外,根据症状的轻重程度,医生可能开具祛痰药、退烧药及镇咳药等辅助药物来减轻患者不适。对于支气管炎引起的咳嗽,中成药也可作为辅助治疗手段。
急性支气管炎的预防措施
急性支气管炎可通过一些简单的生活方式改变和预防措施来降低发病风险。对于高危人群,如老年人、儿童和免疫力低下者,尤需注意以下几点:
1. 保持良好的个人卫生,勤洗手,避免感染源暴露。特别是在流感和急性呼吸道感染的高发季节,应避免到人群密集的公共场所。
2. 日常生活中应注意均衡饮食,多摄入富含维生素C的蔬菜和水果,提高体抗力。同时,多饮水有助于保持呼吸道黏膜的湿润。
3. 保持适当的室内湿度,避免空气过于干燥。冬季取暖时,也需注意通风换气,减少有害气体积聚。
4. 禁烟并远离二手烟:吸烟以及被动吸烟都会显著增加呼吸道感染的风险,戒烟是预防支气管炎的重要措施之一。
5. 加强体育锻炼,提高免疫力。适量的有氧运动有助于增强呼吸系统的功能,提高全身的抗病能力。
总之,急性支气管炎虽然常见,但通过合理的预防措施可以极大程度上减少其发生。对于患病个体,及时就诊、遵医嘱治疗至关重要。全面的健康管理和生活方式调整不仅是预防支气管炎的有效手段,也是提高整体生活质量的关键。
引用文献
- Peng, Y. et al. "Mechanism of airway remodeling due to chronic inflammation in asthma and its treatment." Chinese Journal of Practical Pediatrics, vol. 29, no. 2, 2020, pp. 156-162.
- Zhang, L. et al. "Epidemiology and risk factors for acute bronchitis in adults." Public Health Reviews, vol. 45, no. 3, 2021, pp. 213-226.











