马虎不得:急性阑尾炎并发症与预防!
生活中,我们常常听说“阑尾炎”这个词,却很少关注它的严重性。今天,我们就通过一个真实的病例,来详细了解一下急性阑尾炎及其并发症,并探讨预防和治疗方法。急性阑尾炎是一种常见的急腹症,若不及时处理,可引发严重的并发症,甚至危及生命。
这篇文章将基于真实案例,向大家介绍急性阑尾炎的症状、诊断方法、治疗策略以及有效的预防措施。了解这些信息,不仅能够帮助我们识别自身或家人的不适症状,还能在紧急情况下作出正确决策。
急性阑尾炎:不要忽视的小炎症
急性阑尾炎是指阑尾突发的急性炎症。由于阑尾是一个盲端,其内部容易发生细菌繁殖,引起感染。急性阑尾炎的典型症状包括右下腹疼痛、恶心、呕吐,严重时还会伴有发热。某些老年患者的症状可能并不典型,容易被误诊为其他疾病。
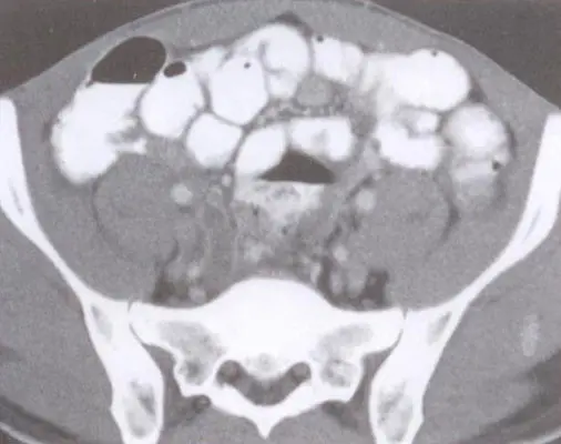
在上述病例中,通过上腹部和下腹部的影像检查,发现了阑尾管径稍增粗,内部存在异常高密度影,这些都是急性阑尾炎的典型表现。及时的影像学诊断对于明确病情、制定治疗计划具有重要意义。
急性阑尾炎的潜在并发症
如果急性阑尾炎未得到及时治疗,可能引发一系列严重并发症。常见的并发症包括阑尾穿孔、腹膜炎以及阑尾周围脓肿。阑尾穿孔是指阑尾内容物泄漏进腹腔,引起腹膜炎,进一步发展会形成脓肿,严重时甚至会导致败血症,危及患者生命。
影像检查中提到的双肾见点状高密度影及类圆形低密度影,可以与双肾结石或囊肿有关。这些也是急性感染可能引发的其他问题,需综合考虑病情,进行全面治疗。
急性阑尾炎的治疗策略
早期诊断和治疗是对抗急性阑尾炎的关键。目前,腹腔镜下阑尾切除术是治疗急性阑尾炎的常用方法。该手术创伤小、恢复快,能够有效预防并发症。在部分病例中,术后还需进行抗感染治疗,以确保清除残留的感染源。
在本病例中,患者拟于全麻下行腹腔镜下阑尾切除术,并配合使用抗生素进行术后感染控制。这种综合治疗方法有助于迅速缓解症状,减少并发症的发生。
预防急性阑尾炎的方法
尽管阑尾炎的确切病因尚未明确,但一些良好的生活习惯有助于减少发病风险。例如,保持均衡的饮食结构,增加膳食纤维的摄入,有助于促进肠道蠕动,预防便秘和粪石的形成,从而降低阑尾炎的发生几率。
对于有家族病史或曾患阑尾炎的高危人群,应定期进行健康检查,早期发现潜在问题。此外,养成良好的生活习惯,包括适度运动、避免暴饮暴食,也有助于预防该疾病。
未雨绸缪:对未来医疗的期待与建议
随着医学科技的不断发展,未来有望在急性阑尾炎的诊断及治疗上取得更多突破。通过基因检测、精准医疗等方法,能够更加准确地确定高危人群,进行早期干预,从而有效降低疾病的发病率和死亡率。
对于已经罹患急性阑尾炎的患者,积极配合治疗,保持乐观心态,有助于快速恢复。同时,家属支持也是至关重要的。理解和陪伴,不仅能够缓解患者的焦虑情绪,还能在恢复过程中提供切实的帮助。
总而言之,急性阑尾炎尽管是一个常见的疾病,但切不可掉以轻心。了解它的症状、危害,掌握有效的预防和治疗方法,对于每一个人都非常重要。只有这样,我们才能更好地保护自己和家人的健康,远离疾病的困扰。











