肱骨骨折及其治疗——老年人的常见问题及解决方案!
在我们的日常生活中,骨折是一个比较普遍但有时也令人困扰的健康问题。尤其对于老年人来说,骨折可能会对生活质量产生重大影响。这篇文章将详细介绍肱骨骨折的相关信息,包括它的成因、症状、治疗方法和预防措施,帮助大家更好地了解这种疾病以及如何应对。
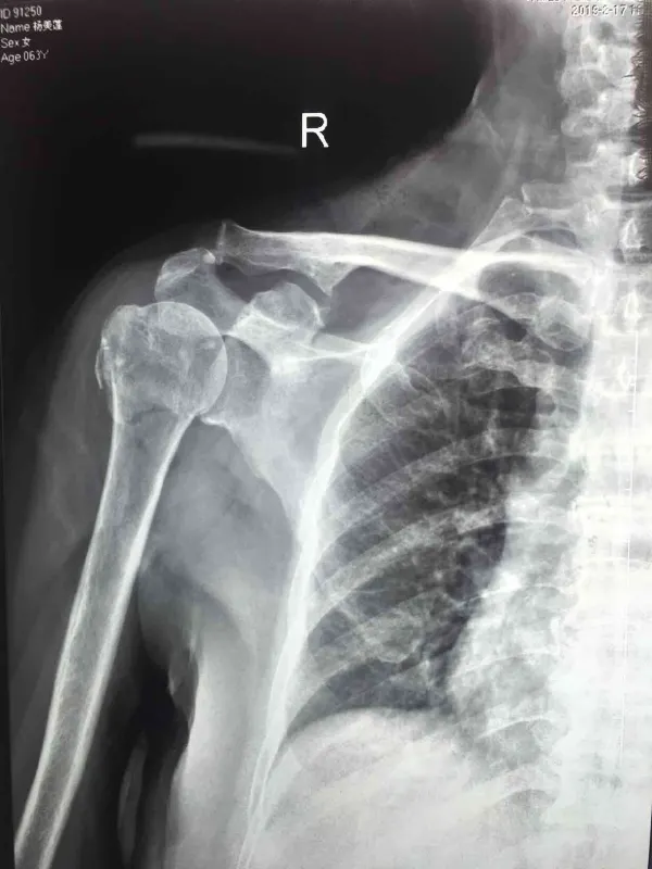
肱骨骨折的成因和症状
肱骨骨折是指上臂骨折,是人体最常见的骨折之一,特别是老年人群体中。主要成因包括摔倒、交通事故和其他创伤性事件。由于老年人骨骼相对脆弱,轻微的外力也可能导致骨折。
肱骨骨折的症状包括剧烈的疼痛、肿胀、畸形和无法正常移动受伤的手臂。在某些情况下,骨折部位可能会有明显的挤压痕迹或凹陷。患者可能会感觉受伤的部位非常敏感,轻轻触碰都会引发剧烈的疼痛。
在检查时,医生通常会通过体格检查和影像学检查(如X光或CT扫描)来确认骨折的具体情况。这些检查有助于确定骨折的类型和严重程度,对于制定合适的治疗方案非常重要。
肱骨骨折的治疗方案
肱骨骨折的治疗主要包括非手术治疗和手术治疗,具体方案取决于骨折的类型、位置及严重程度。
对于一般的稳定性骨折,通常使用非手术治疗,例如使用悬带、石膏或护具固定患处。这些器具能够限制手臂的运动,帮助骨骼在自然状态下愈合。治疗过程中需要定期复查,确保骨骼愈合的效果。
对于复杂或不稳定的骨折,尤其是涉及到关节面的骨折,手术治疗是必要的。常见的手术方法包括切开复位钢板内固定术和髓内钉固定术。手术的目的是确保骨骼在正确的位置愈合,防止未来可能的并发症。
手术后,患者通常需要经过一段时间的康复治疗,以恢复手臂的功能。康复治疗可能包括物理治疗、功能训练和适度的运动,帮助患者逐步恢复日常活动能力。
如何预防肱骨骨折
预防肱骨骨折的关键在于避免跌倒和减少创伤的发生。以下是一些具体的建议:
1. **保持适度运动**:老年人保持适度的运动,可以增强骨骼和肌肉的力量,增加平衡感和协调性。例如,散步、游泳和轻度的负重训练等都是很好的选择。
2. **注意居家安全**:确保家中地面平整、无障碍物,防止滑倒。可以使用防滑垫,安装扶手,特别是在浴室、楼梯等容易滑倒的地方。
3. **饮食均衡**:摄取足够的钙和维生素D,有助于维持骨骼的健康。乳制品、杏仁、绿叶蔬菜和鱼类都是富含钙质的食物,适量晒太阳则能促进维生素D的合成。
4. **定期体检**:老年人应定期体检,关注骨密度的变化。对于骨质疏松的高危人群,可在医生指导下服用药物,预防骨质流失。
总结
肱骨骨折是一种较为常见且需及时处理的健康问题。了解其成因、症状、治疗和预防措施,对于提高生活质量和降低生活风险尤为重要。积极的生活方式、合理的饮食和定期体检,是预防骨折的重要措施。同时,面对骨折时要保持积极的心态,遵从医生指导进行治疗和康复,争取早日恢复健康。
未来的治疗和展望
随着医学技术的不断进步,未来肱骨骨折的治疗将会变得更加高效和个性化。微创手术技术的发展,使得手术创伤更小,恢复更快。与此同时,再生医学和生物材料技术的进步,也为骨折愈合提供了新的治疗手段,例如骨修复材料的应用和干细胞治疗。
对于患者来说,保持乐观的心态和积极参与治疗非常重要。家人的支持也是治疗过程中不可或缺的一部分。他们可以在日常生活中给予帮助,确保患者按时服药、进行康复训练,提供心理上的支持和鼓励。
总体来说,肱骨骨折虽然是一种常见的骨折类型,但只要采取正确的治疗和预防措施,是完全可以康复并恢复正常生活的。希望通过本文,能为读者提供有益的知识和帮助,让每个人都能有一个健康、充实的生活。











