全面了解脊髓型颈椎病:从诊断到治疗
本文旨在全面介绍脊髓型颈椎病的类型、诊断流程、分期标准、治疗方式、不良反应处理及患者生活习惯调整,帮助读者建立科学的疾病管理观念。
脊髓型颈椎病是一种以脊髓压迫为主要病因的颈椎病类型,主要表现为神经症状,包括走路不稳、四肢无力、手指僵硬等,严重时可能导致瘫痪。因此,早期诊断和科学治疗对于改善患者预后至关重要。
脊髓型颈椎病有何分类依据?
脊髓型颈椎病可以根据病因、病理生理、临床表现等方面进行分类。病因方面,主要包括椎间盘突出、骨刺增生及韧带增厚;病理生理方面,可以分为脊髓压迫和缺血两大类;临床表现方面,根据症状发生的部位和程度,也可以进行细分。
病因分类是诊断和治疗的基础。例如,椎间盘突出的病因不同于骨刺增生,对于治疗方法的选择有重要影响。椎间盘突出多采取微创手术,而骨刺增生则通常需要通过开刀手术进行切除。
病理生理分类则从疾病的演变过程入手,脊髓压迫和缺血两者的处理方法也有所不同。脊髓压迫主要通过手术减压,而缺血则可能需要药物治疗和营养支持。
临床表现分类是直接与患者的感受相关的,症状部位和程度直接影响患者的日常生活质量。因此,准确的症状分类有助于制定个体化的治疗计划。
如何进行脊髓型颈椎病的诊断?
脊髓型颈椎病的诊断依赖于临床信息、辅助检查结果及医生经验。首先,医生会询问患者的症状及病史,注意到如走路不稳、四肢无力等神经症状。
接着,基础的体格检查如神经系统查体是必不可少的,通过检查肌力、肌张力、反射等方面,可以初步判断病情的严重程度和具体部位。
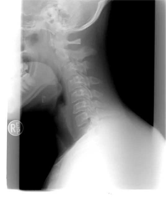
辅助检查方面,CT和MRI是诊断脊髓型颈椎病的金标准。CT可以清晰显示骨性结构的变化,如骨刺和椎体变形;而MRI则更侧重于软组织的显示,如椎间盘突出、脊髓受压情况等。
医生会结合临床表现、检查结果及自己丰富的临床经验综合判断,最终确诊。这一过程中,应用最新的循证医学证据,有助于提高诊断的准确性。
脊髓型颈椎病的分期与评估
脊髓型颈椎病在不同的患者和病情阶段有不同的表现,因此分期和评估是至关重要的。一般来说,脊髓型颈椎病分为早期、中期和晚期。
早期患者多表现为轻微的神经症状,如手指麻木、步态稍有不稳等,影像学改变也比较轻微。此时,进行保守治疗,如物理治疗和药物治疗,可能获得较好的效果。
中期患者症状加重,走路不稳、四肢无力明显,影像学检查显示出显著的结构异常。此时,多数需要采取手术治疗,结合康复治疗以帮助恢复。
晚期患者的症状极为严重,甚至可能出现瘫痪,影像学检查显示明显的脊髓压迫和损伤。晚期手术效果可能有所限制,重点在于缓解疼痛和改善生活质量。
脊髓型颈椎病的治疗方式
治疗脊髓型颈椎病的方法包括保守治疗和手术治疗。保守治疗主要适用于早期和部分中期患者,方法有药物治疗、物理治疗、牵引等。药物治疗主要包括消炎止痛药和神经营养药,以缓解症状和促进神经恢复。
物理治疗包括牵引、推拿、针灸等,通过改善血液循环和松弛肌肉来缓解症状。对于症状较轻的患者,通过加强颈椎的锻炼也可以起到辅助治疗的效果。
手术治疗适用于严重的中期和晚期患者,常见的手术方法有前路减压术和后路减压术。前路减压术通过从颈椎前方进入,切除导致压迫的病变组织,而后路减压术则从颈椎后方进入。
手术后的康复治疗也非常重要,主要包括功能锻炼和营养支持,目的是最大限度恢复患者的功能,提高生活质量。
脊髓型颈椎病治疗中的不良反应及处理
治疗过程中,患者可能会遇到一些不良反应,常见的不良反应包括疼痛、感染和神经功能损伤等。急性期的疼痛可以通过服用止痛药物来缓解,而感染则需要通过抗生素治疗。神经功能损伤是较为严重的不良反应,需要及时与医生沟通,进行专业评估和处理。
为应对不良反应,患者应该密切关注自己的身体变化,定期复诊,并严格遵循医生的嘱咐。此外,调整生活习惯,如戒烟限酒、保持良好的睡眠姿势和加强颈部锻炼,也有助于减少不良反应的发生。
总之,科学的疾病管理和患者的自我管理是治疗脊髓型颈椎病的重要环节。从疾病的分类、诊断、分期、治疗方式到不良反应处理,每个环节都有其独特的重要性。以科学的方法管理疾病,患者不仅可以有效地控制病情,还可以提高生活质量,恢复健康。












