脑积水及其相关并发症的全面解析
概述本文旨在全面介绍脑积水及其相关并发症的类型、诊断流程、分期标准、治疗方式、不良反应处理及患者生活习惯调整,帮助读者建立科学的疾病管理观念。脑积水是一种由脑脊液异常增多导致脑室系统扩展的病症。它可能发生于任何年龄段,但老年人更为常见。脑积水可分为先天性和后天性,两者的临床表现和发病机制略有不同。本文将详细介绍脑积水的病因、病理生理、临床表现、诊断标准及治疗方法。
此外,脑积水常常伴随其他并发症,如贫血、肺炎和营养不良等。本篇文章也将对这些并发症进行详细的探讨,帮助读者更好地理解和管理病情,从而提高患者的生活质量。
什么是脑积水的分类方法?
脑积水可依据其病因和病理生理特征进行分类。根据脑脊液循环障碍的不同,脑积水分为交通性和非交通性两大类。交通性脑积水又称为正常压脑积水,通常是由于脑脊液的吸收障碍所致;非交通性脑积水则是由于脑室系统内部或其出口处发生了梗阻。
先天性脑积水通常在出生时或出生后不久即被发现,其原因可能包括先天性畸形、遗传性疾病等。后天性脑积水则可能是由感染、出血、肿瘤等引起。根据发病时间,脑积水还可以分为急性、亚急性和慢性。
在临床表现上,急性脑积水的症状出现迅速且严重,如剧烈头痛、恶心呕吐和意识障碍等;慢性脑积水则症状出现较为缓慢,早期可能仅表现为头痛、行走不稳、认知功能下降等。为进一步明确脑积水的类型,通常需要进行影像学检查,如头颅CT或MRI。
结合病因、病理和临床表现,脑积水的分类方法有助于制定更为准确的治疗方案。通过这种方式,医生可以根据患者的具体情况,选择最为适合的治疗手段,以达到最佳的治疗效果。
如何确诊脑积水及其并发症?
脑积水的诊断主要依赖于患者的病史、临床表现和诊断性影像学检查。医生会通过详细的病史采集了解患者的症状,如头痛、恶心、呕吐、行走困难及认知功能障碍等。此外,医生还会进行体格检查,评估患者的神经系统功能。
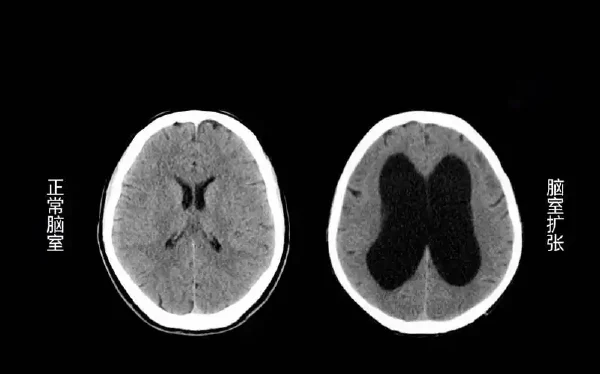
影像学检查是确诊脑积水的主要手段。头颅CT或MRI可以清晰地显示脑室系统的扩展情况,并帮助识别可能的病因,如肿瘤、出血或畸形等。影像学检查不仅可以确认脑积水的存在,还能帮助判断其类型和严重程度。
除了影像学检查外,医生还可能进行脑脊液检查,尤其是在怀疑感染性原因时。通过腰椎穿刺术获取脑脊液样本,可以检查脑脊液的压力、细胞数目、蛋白质含量等,从而进一步明确病因。
鉴于脑积水可能伴随多种并发症,如贫血、肺炎和营养不良等,患者还需要进行常规的血液检查和生化检查,以全面评估身体状况。这些检查可以帮助医生了解患者的营养状态、是否存在感染,以及其他潜在的健康问题。
脑积水的分期与评估
脑积水的分期主要依据其病因、发生时间和临床表现。根据病因,脑积水可分为先天性和后天性;根据发生时间,又可以分为急性、亚急性和慢性;根据临床表现的严重程度,可以进一步分为轻度、中度和重度。
急性脑积水的症状出现迅速且严重,如果不及时治疗,可能导致脑疝和死亡。亚急性脑积水的症状逐渐加重,但没有急性脑积水那么迅猛。慢性脑积水的症状出现较为缓慢,早期可能仅表现为轻微的头痛或认知功能下降,逐渐发展为行走困难和大小便失禁等。
脑积水的治疗方式详解
脑积水的治疗方式主要包括手术治疗和对症支持治疗。手术治疗是主要的治疗手段,常见的方法包括分流手术和内窥镜下第三脑室造瘘术。
分流手术是将脑脊液从脑室系统引流到身体的其他部位,如腹腔或心房,从而减轻脑室系统的压力。这种手术方法已经应用多年,技术成熟,效果显著。然而,分流手术也存在一定的并发症风险,如感染、分流管堵塞等。
不良反应相关处理
脑积水治疗过程中,常见的不良反应包括手术并发症、药物不良反应等。手术并发症可能包括感染、出血、脑损伤等,需要及时处理和密切监测。药物不良反应则可能包括过敏反应、胃肠道反应等,需要根据具体情况进行调整。
在日常护理中,患者及其家属应注意观察患者的身体状况,如有异常情况,及时就医。此外,良好的生活习惯也有助于减少不良反应的发生,如合理饮食、适量运动以及保持良好的睡眠质量等。
总结要点:通过全面了解脑积水的病因、分期、治疗方法及不良反应处理,可以帮助患者及其家属更好地管理疾病,提高生活质量。同时,科学管理和患者自我管理都是疾病治疗过程中的重要环节。










